サポート内容
Services
01-
診療体制構築の支援
歯科医師とスタッフ教育を通じた、安心できる診療体制の構築支援
矯正歯科治療を安心して導入・継続できるよう、診療フローや診断体制の整備をサポートします。歯科医師には診断力や治療計画立案のスキルを、スタッフには日常業務や患者様対応に必要な知識を教育することで、チーム全体の診療力を底上げし、安定した診療体制を構築します。

02-
治療計画立案
診断業務の効率化支援
医師の負担を軽減する、治療計画立案と診断業務効率化のための総合支援
治療計画の立案や診断業務を効率的に行えるよう、豊富な臨床経験に基づいたコンサルテーションを行います。メールや電話、SNS、Web会議、対面形式など多様な手段に対応し、先生方の状況やニーズに合わせて柔軟にサポートいたします。

03-
ケースセレクションに関するご相談
専門医紹介や治療介入のタイミングの判断を含めた、症例選択のご相談
治療の難易度を見極めるケースセレクションについて、豊富な臨床経験に基づきご相談を承ります。リスクの高い症例の見極めや専門医への紹介の判断、使用する装置の種類や治療期間、保定方法、治療介入の適切な時期等を提示し、安心して治療を行って頂けるようサポートいたします。

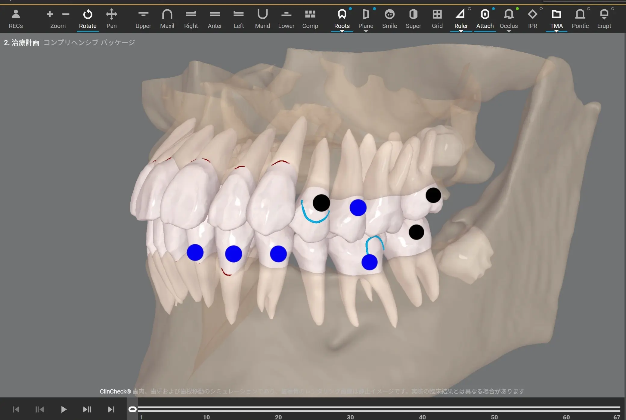
04-
クリンチェック作成の支援
効率的かつ安心なアライナー矯正治療を実現するためのデジタル治療計画作成サポート
症例に応じた最適なデジタル治療計画を共に検討し、効率的かつ精度の高い治療の実現を支援いたします。

05-
チェアサイドでの技術指導
ワイヤー矯正やアライナー矯正などの技術的なトレーニング指導
クリニック様に出向き、チェアサイドにて、ワイヤー矯正およびアライナー矯正などの技術的なトレーニングや、患者様への説明指導等を行います。

06-
治療経過のモニタリング
治療の進捗を可視化し、安心・安全な矯正治療を支えるモニタリングサポート
治療経過を正確に把握するため、経過写真や遠隔治療システムを活用したモニタリングを行います。進行状況を的確に評価し、リカバリーの必要性を早期に発見することで、より安全で確実な矯正治療の実現をサポートします。

07-
各種セミナーや研修の企画と実施
学びと相談の場を通じて、歯科医師の診療力向上を支援する研修・セミナー開催
矯正歯科治療に必要な知識と技術を深めるため、各種セミナーや研修を企画・実施しています。代表や外部講師によるセミナーや研修、症例相談会を対面またはオンラインで行い、日々の診療に直結する実践的な学びの機会を提供します。

教育コンテンツ事例
Contents

矯正歯科治療の基本的な考え方や技術を「講義と実習」を通じて習得して頂くことで、安心と自信を備えた矯正歯科治療の実現を目指します。また、治療に伴うリスクを見極める力を身につけて頂くことで、患者様へのより良く安全な矯正歯科治療のご提供を可能にします。
セミナー(講義と実習)
・概論
矯正歯科治療の全体像
・診断学
資料採得/セファロ分析
矯正治療計画の立案
診断資料 ・クリンチェックの作成
ケースセレクション
・治療学
ワイヤー矯正治療/アライナー矯正治療/
ブラーバ矯正治療/子供の治療
チェアサイドでの実習
・初診相談のロールプレイング
・資料採得
顔貌・口腔内写真/レントゲン
スキャニング/咬合採得( CO・ CR)
・アライナー矯正
アタッチメント/リンガルボタン設置
IPR/アライナーお渡し・管理等
・ワイヤー矯正
バンド作成/アンカレッジの確保
ブラケット設置/ワイヤー装着
ワイヤーベンディング等
・子供の矯正
バンド作成/バンド印象/装置の装着
・その他
アンカー埋入等


